服务热线
400-611-2850
百替医学是国内首家专注于医学科研咨询及技术服务的公司,专门为临床医生提供科研问题解决方案。
Phone: 400-611-2850
E-mail:: service@100biotech.com
或 在线留言 给我们
1、联系与咨询。
您可通过公司的服务热线400-611-2850和服务邮箱 service@100biotech.com,或者与您联系的百替医学服务人员,告知您的科研服务需求2、签订保密协议,洽谈具体服务内容。
在双方签订合作保密协议后,您可与百替医学科研服务咨询小组进行具体项目沟通;您和百替医学双方明确服务产品需求和具体项目要求;百替医学制作和提交项目实施方案和报价。3、双方签订合同,客户按合同支付费用。
双方对合同服务内容和价格无异议后,签订服务合同。您按合同约定支付费用,并提供必要的实验药品或样品(实验样品的寄送须采用特快专递形式邮寄,有低温要求的、固定要求的,按低温保存、固定防碎方法运输,以确保安全可靠)。4、项目实施,开始为客户提供科研咨询和技术服务。
百替医学按合同方案进行项目实施。项目实施过程中,百替医学项目经理按时与客户反馈及交流信息;百替医学开始为客户提供相关科研咨询和技术服务,并及时按合同将数据、材料、样本、模型等相关信息材料提供给客户。5、分析结果资料,整理提交数据。
百替医学技术团队分析整理数据,总结结论,将完整项目实施报告和数据、图片等相关信息提供给客户,同时根据合同处理相关的实验材料。项目报告内容将包括具体实验方法、步骤、所用试剂、仪器、数据、结果和结论等。6、项目完成,协商进一步合作。
项目完成,客户如有后续科研服务需求,双方协商进一步合作。

Nat Comm | 李琦团队发现细胞外囊泡激活肿瘤相关成纤维细胞促进大肠癌转移的新机制
发布时间:2020-03-18 11:10 文章来源:未知 作者:百替生物
大肠癌术后高转移率是临床上面临的医学难题,即使完成6-8次的术后辅助化疗,仍有超过1/3的III期大肠癌患者在3年内出现转移,一旦转移,患者预后较差。但大肠癌转移的机制目前尚不完全清楚.
近日,一项发表在《Nature Communications》(IF=11.878)的来自上海中医药大学首席教授李琦教授团队的研究揭示了细胞外囊泡激活肿瘤相关成纤维细胞促进大肠癌转移的机制。
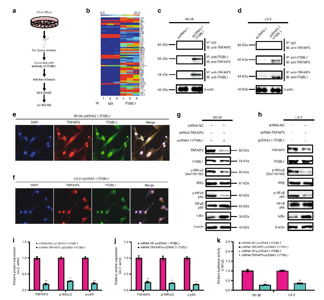
研究者采用第二代测序等方法分析了大肠癌患者组织、血液标本,发现了整合素β亚基样蛋白1(ITGBL1)在大肠癌肝、肺转移的中的作用。进一步采用细胞实验和动物实验,发现:手术切除后残存的大肠癌肿瘤细胞释放携带ITGBL1的细胞外囊泡,进入血液循环,到达肝肺等组织,通过TNFAIP3介导的NF-κB信号通路激活成纤维细胞,成纤维细胞分泌IL-6、IL-8等因子诱导肿瘤转移微环境形成,促进癌细胞的转移和生长,而抑制该途径能够阻止大肠癌的肝肺转移。
国际著名肿瘤学专家Neta Erez教授、中国工程院外籍院士瑞典卡罗林斯卡医学院曹义海教授等认为,本研究首次发现细胞外囊泡通过ITGBL1介导的TNFAIP3-NF-κB信号通路激活肿瘤相关成纤维细胞,是大肠癌转移的重要步骤,阻断该途径可以抑制大肠癌转移,并认为针对该途径有望开发新型靶向药物,预防大肠癌肝肺转移。
领衔该研究的李琦教授同时指出“临床上针对大肠癌手术后高转移率的医学难题,中医药治疗也能起到很好的阻断作用”。基于本研究发现的大肠癌转移途径和机制,已初步筛选出有效的中药复方和活性成分,提示中医药能够较好的抑制成纤维细胞激活达到抑制肿瘤转移的作用。